
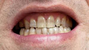
تصبغات الأسنان من أكثر المشكلات التجميلية انتشارًا، وهي تغيّر في لون السن يجعل شكله أغمق أو غير موحّد، وده بيأثر على المظهر والثقة بالنفس. ورغم إنها تبدو مشكلة بسيطة، إلا إنها أحيانًا بتكون علامة على عوامل صحية أو عادات يومية محتاجة تتغير. لون الأسنان الطبيعي بيكون مائل للأبيض، لكن في عوامل داخلية وخارجية بتسبب تغيّرات فيه مع الوقت.
التصبغات الخارجية هي الأكثر شيوعًا، وبتتكوّن على سطح المينا بسبب تراكم البقع الناتجة عن الأطعمة والمشروبات الداكنة مثل الشاي، القهوة، الكولا، والنبيذ، بالإضافة للتدخين اللي يعتبر من أقوى مسببات التصبّغ لأنه يترك بقايا نيكوتين وقطران على سطح السن. قلة تنظيف الأسنان بانتظام بتسمح للبلاك والجير إنه يتراكم، وده بيساعد على تثبيت التصبغات بشكل أكبر. بعض معاجين الأسنان الملوّنة أو الغرغرة المحتوية على كلورهيكسيدين ممكن تسبب تصبغات مع الاستخدام الطويل.
أما التصبغات الداخلية فهي أعمق وبتحدث جوه بنية السن نفسها، ودي بتكون أصعب في العلاج. من أسبابها استخدام بعض المضادات الحيوية زي التتراسيكلين أثناء مرحلة نمو الأسنان عند الأطفال، أو التعرض لجرعات عالية من الفلورايد، أو إصابة قوية للسن تؤدي لموت العصب، وده يخلي لونه يتحول للرمادي أو البني. كمان مع التقدم في العمر، المينا بتتآكل تدريجيًا ويظهر العاج بلونه الأصفر بصورة أوضح.
الأعراض واضحة وبسيطة، أهمها تغيّر لون الأسنان سواء على شكل بقع صفراء أو بنية أو رمادية، أو تفاوت في اللون بين سنة وأخرى. بعض التصبغات بتكون سطحية ويمكن إزالتها بسهولة، لكن التصبغات العميقة بتحتاج تدخل متخصص.
تشخيص التصبغات بيتم في عيادة طبيب الأسنان من خلال الفحص وتحديد ما إذا كان السبب خارجيًا ولا داخليًا، وده بيفرق جدًا في طريقة العلاج. ممكن يحتاج الطبيب لصور أشعة لو كان في شك في إصابة العصب أو موت اللب الداخلي للسن.
العلاج بيعتمد على نوع التصبغ. التصبغات الخارجية البسيطة غالبًا بتتحسن مع تنظيف الجير وتلميع الأسنان في العيادة، ومع استخدام معجون تبييض مناسب. أما التصبغات الأعمق فبيتم علاجها بطرق تبييض احترافية مثل تبييض العيادة باستخدام مواد عالية التركيز أو الليزر. لو كان التغير شديد ومش بيستجيب للتبييض، قد يتم اللجوء للتركيبات التجميلية مثل القشور الخزفية (Veneers) أو التيجان لتغطية السن ومنحها لونًا موحّدًا. أما لو كان السبب داخليًا بسبب مشكلة في العصب، فالعلاج بيبدأ بعلاج العصب أولًا ثم التبييض الداخلي أو التغطية التجميلية.
الوقاية من التصبغات أسهل بكتير من علاجها، وأولها الاهتمام بتنظيف الأسنان مرتين يوميًا واستخدام الخيط الطبي. تقليل المشروبات الملونة أو شربها باستخدام شفاط يساعد على تقليل تلامسها مع الأسنان. الإقلاع عن التدخين من أهم الخطوات اللي بتقلل من التصبغات بشكل واضح. يُفضَّل شطف الفم بعد القهوة أو الشاي، وزيارة طبيب الأسنان كل 6 أشهر للتنظيف والمتابعة. كمان استخدام معجون يحتوي على الفلورايد وتبييض خفيف ممكن يحافظ على اللون الطبيعي مع الوقت.
وفي النهاية، تصبغات الأسنان مشكلة شائعة لكنها قابلة للعلاج بسهولة لو اتشخصت صح واتبعنا روتين العناية المناسب. ومع الاهتمام المستمر، يقدر أي شخص يحافظ على ابتسامة مشرقة ولون أسنان صحي وطبيعي.



